itcsbanner.jpg

New approach for data acquisition and image reconstruction in parallel magnetic resonance imaging

In this study, we propose a novel data acquisition and image reconstruction method for parallel magnetic resonance imaging (MRI). The proposed method improves the GRAPPA algorithm by simultaneously collecting data using the body coil in addition to localized surface coils. The body coil data is included in the GRAPPA reconstruction as an additional coil. The reconstructed body coil image shows greater uniformity over the field of view than the conventional sum-of-squares (SoS) reconstruction that is conventionally used with GRAPPA. The body coil image can also be used to correct for spatial

Circuit Theory and Applications
Innovation, Entrepreneurship and Competitiveness

New feature splitting criteria for co-training using genetic algorithm optimization

Often in real world applications only a small number of labeled data is available while unlabeled data is abundant. Therefore, it is important to make use of unlabeled data. Co-training is a popular semi-supervised learning technique that uses a small set of labeled data and enough unlabeled data to create more accurate classification models. A key feature for successful co-training is to split the features among more than one view. In this paper we propose new splitting criteria based on the confidence of the views, the diversity of the views, and compare them to random and natural splits. We

Circuit Theory and Applications
Innovation, Entrepreneurship and Competitiveness

Innovative human-robot interaction for a robot tutor in biology game

Robots nowadays, are introduced to many domains and fields. One of these fields is education. We introduce integrating robots and games in education. We have designed a humanoid robot tutoring biology. Our robot is interacting with a student to play a game to enhance and examine the student's knowledge. In our game, we developed cognitive capabilities for the robot. We analyzed the features that both the robot and the game have to possess, and we developed a system for organ detection and recognition with the highest possible accuracy and lowest processing time. Our game introduces a multi

Circuit Theory and Applications
Software and Communications
Mechanical Design
Innovation, Entrepreneurship and Competitiveness

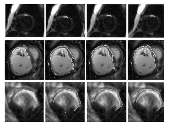
Improved estimation of the cardiac global function using combined long and short axis MRI images of the heart

Background: Estimating the left ventricular (LV) volumes at the different cardiac phases is necessary for evaluating the cardiac global function. In cardiac magnetic resonance imaging, accurate estimation of the LV volumes requires the processing a relatively large number of parallel short-axis cross-sectional images of the LV (typically from 9 to 12). Nevertheless, it is inevitable sometimes to estimate the volume from a small number of cross-sectional images, which can lead to a significant reduction of the volume estimation accuracy. This usually encountered when a number of cross-sectional

Artificial Intelligence
Healthcare
Circuit Theory and Applications
Innovation, Entrepreneurship and Competitiveness

In-Silico Comparative Analysis of Egyptian SARS CoV-2 with Other Populations: A Phylogeny and Mutation Analysis

In the current SARS-CoV2 pandemic, identification and differentiation between SARS-COV2 strains are vital to attain efficient therapeutic targeting, drug discovery and vaccination. In this study, we investigate how the viral genetic code mutated locally and what variations is the Egyptian population most susceptible to in comparison with different strains isolated from Asia, Europe and other countries in Africa. Our aim is to evaluate the significance of these variations and whether they constitute a change on the protein level and identify if any of these variations occurred in the conserved

Healthcare
Circuit Theory and Applications
Innovation, Entrepreneurship and Competitiveness

Inherent fat cancellation in complementary spatial modulation of magnetization

An efficient fat suppression method is presented for MR tagging with complementary spatial modulation of magnetization (CSPAMM). In this method, the complementary modulation is applied to the water content of the tissues, while in-phase modulation is applied to the fat content. Therefore, during image reconstruction, the subtraction of the acquired images increases the tagging contrast of the water while cancels the tagging lines of the fat. Compared with the existing fat suppression techniques, the proposed method allows imaging with higher temporal resolution and shorter echo-time without

Healthcare
Circuit Theory and Applications
Innovation, Entrepreneurship and Competitiveness

Improved technique to detect the infarction in delayed enhancement image using k-mean method

Cardiac magnetic resonance (CMR) imaging is an important technique for cardiac diagnosis. Measuring the scar in myocardium is important to cardiologists to assess the viability of the heart. Delayed enhancement (DE) images are acquired after about 10 minutes following injecting the patient with contrast agent so the infracted region appears brighter than its surroundings. A common method to segment the infarction from DE images is based on intensity Thresholding. This technique performed poorly for detecting small infarcts in noisy images. In this work we aim to identify the best threshold

Healthcare
Circuit Theory and Applications
Innovation, Entrepreneurship and Competitiveness

Improved strain measuring using fast strain-encoded cardiac MR

The strain encoding (SENC) technique encodes regional strain of the heart into the acquired MR images and produces two images with two different tunings so that longitudinal strain, on the short-axis view, or circumferential strain on the long-axis view, are measured. Interleaving acquisition is used to shorten the acquisition time of the two tuned images by 50%, but it suffers from errors in the strain calculations due to inter-tunings motion of the heart, which is the motion between two successive acquisitions. In this work, a method is proposed to correct for the inter-tunings motion by

Healthcare
Circuit Theory and Applications
Innovation, Entrepreneurship and Competitiveness

In-silico development and assessment of a Kalman filter motor decoder for prosthetic hand control

Up to 50% of amputees abandon their prostheses, partly due to rapid degradation of the control systems, which require frequent recalibration. The goal of this study was to develop a Kalman filter-based approach to decoding motoneuron activity to identify movement kinematics and thereby provide stable, long-term, accurate, real-time decoding. The Kalman filter-based decoder was examined via biologically varied datasets generated from a high-fidelity computational model of the spinal motoneuron pool. The estimated movement kinematics controlled a simulated MuJoCo prosthetic hand. This clear-box

Healthcare
Circuit Theory and Applications
Software and Communications
Mechanical Design
Innovation, Entrepreneurship and Competitiveness

Optimal resource allocation for green and clustered video sensor networks

Wireless video sensor networks (WVSNs) are opening the door for many applications, such as industrial surveillance, environmental tracking, border security, and infrastructure health monitoring. In WVSN, energy conservation is very essential because: 1) sensors are usually battery-operated and 2) each sensor node needs to compress the video prior to transmission, which consumes more power than conventional wireless sensor networks. In this paper, we study the problem of minimizing the total power consumption in a cluster-based WVSN, leveraging cross-layer design to optimize the encoding power

Healthcare
Circuit Theory and Applications
Software and Communications